QP-Insights®

A comprehensive single view platform
QP-Insights® is comprehensive web-based cloud platform, that centrally manages, stores and quantitatively analyzes multi-omics data and is interoperable with other registries. Our customers can use our platform and embedded products to augment their analytical capabilities and extract new predictive models and biomarkers by linking imaging data with processed electronic health records (EHR) data.
Secure, Scalable, and Standardized Data
The platform’s infrastructure ensures state-of-the-art security, scalability and global deployability. It harmonizes imaging data, generating a standardized image quality that minimizes variability in image quality across equipment manufacturers and acquisition protocols.
Comprehensive Medical Image Management
The image server is a DICOM node that manages the storage and transfer of all DICOM-based medical imaging data via open standards such as DICOM and DICOM web. It can be integrated with an on-premises PACS via QP-Link, and it offers the web platform’s manual upload/download functionality.
HIPAA/GDPR-Compliant Data Anonymization and Encryption
QP-Insights is built in an anonymization module complying with HIPAA/GDPR with a two-factor authentication. QP-Insights completely removes all data from DICOM images and clinical records that might be used for re-identification. This functionality is present for both the automated upload (via QP-Link) and for the manual upload via the QP-Insights portal. In addition, to further reduce the risk of re-identification, the QP-Insights platform uses only encrypted data storage, and only transfers the data in an encrypted form.
Analytics and Automation for Healthcare Data
The Quibim analytics engine is responsible for all processing and inferencing on image and clinical data. The event logging, audit trailing and, monitoring services ensure the observability of the QP-Insights platform, and rules & workflow services govern automation in the platform.
Strong track record
We have a solid track record in the life sciences industry. QP-Insights® has successfully delivered reliable solutions to meet the data management, storage, and processing needs of our clients.

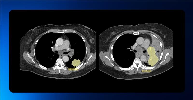
Streamlining RECIST Evaluation with AI
Designed to optimize radiology workflows, Quibim’s solution—integrated within the QP-Insights platform—leverages advanced deep learning algorithms to accelerate tumor response evaluation based on RECIST 1.1 criteria.
AI-driven tools are seamlessly embedded into the workflow to automatically detect, segment, measure, and track lesions in the lungs and liver. The algorithm is capable of identifying new lesions and monitoring existing ones across follow-up timepoints following the baseline scan.
Radiologists retain full control over the evaluation process, with the ability to manually adjust the AI-generated measurements and add lesions from other anatomical regions in an intuitive and user-friendly interface.
All data is automatically stored in a standardized digital format within the platform, enabling automated RECIST 1.1 response calculations and generating a final summary report of the complete assessment.

QP-Insights & EUCAIM
QP-Insights is the backbone platform for 9 EU-wide research consortiums such as EUCAIM, a cornerstone of Europe’s Beating Cancer Plan and is already trusted by major biopharmaceutical companies. Ultimately, these collaborative efforts advance our mission of advancing precision medicine and patient health.

The Multi-Omics Data Management Solution
QP-Insights platform is highly customizable based on the user’s requirements, includes an embedded zero footprint DICOM viewer for radiological readings, semi-automatic treatment response evaluation, AI-driven organ/lesion segmentation and automatic quantification of imaging biomarkers, incorporates electronic case report forms (eCRF) interoperability and a DataMiner tool.
Zero-footprint DICOM viewer
It allows users to load, display, and annotate DICOM files. The annotation tool provides a complete diagnostic aid, allowing users to annotate findings and regions of interest (ROI) and perform organ segmentation with accurate and easy-to-handle tools.
AI-driven organ/lesion segmentation
Organ-agnostic automated methodology for model development applied to various imaging modalities (MRI, CT, PET, PET/CT, PET/MRI), anatomical areas and clinical conditions, combined with an innovative procedure for quality checks and anomaly detection.
AI-powered based-imaging tools
The AI Radiomics analysis modules help our customers go one step further in their research by revealing information embedded within conventional scans for various anatomical areas, increasing the diagnostic accuracy, prognostic evaluation, and prediction of therapeutic responses.
eCRF interoperability
Real-time integration of imaging biomarkers quantification with electronic data capture (EDC) for clinical trials. QP-Insights platform also offers an eCRF customized for each specific clinical study.

Example of an eCRF integrated in QP-Insights for localized prostate cancer
DataMiner tool
Our visual analytics techniques allow our customers to explore and export results on patient cohorts and conduct preliminary statistical analyses and studies of patient populations by applying clustering techniques based on all the imaging and multi-omics data available.




